All About Cuboid Syndrome

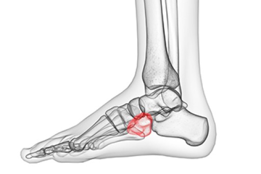
Though cuboid syndrome predominately affects athletes, non-athletes can suffer from it too. Cuboid syndrome is also called cuboid subluxation or cuboid fault syndrome, and occurs when a joint or ligament near the cuboid bone of the foot becomes damaged, or when the bone itself is dislodged from its natural position. Pain may be persistent, or come and go, and it is usually marked by the outside of the foot. Cuboid syndrome, unless severe, can be difficult to diagnose. A doctor will likely ask questions about how long the pain has been present, and will apply pressure on the cuboid bone to determine the origin of pain.

There are a number of causes that can lead to the syndrome. Due to athletic activities, repeated stress placed on the foot can cause cuboid subluxation. Ballet dancers, runners, and other athletes often develop this condition. Basketball or tennis players may also develop this condition, as they place stress on their feet while moving side to side. Cuboid syndrome can often develop over time; however it can come out of a sudden injury as well. Over pronation, or other problems with feet, can exacerbate the condition if not corrected.

Among podiatrists, there is some disagreement about the treatment, as well as the definition of cuboid syndrome. Some see the injury as an injury to the ligaments located nearby the cuboid bone, while others believe it refers to the dislocation of the calcaneal-cuboid joint only. Treatment opinions differ as well. Although it can be treated by manipulation in order to reposition the bone, this must be done with extreme care in order to avoid injury. Some doctors, however, prefer treatment through the use of orthotic pads, designed to keep the bone in its place. Effectiveness of these treatments may vary, according to the severity of the injury.

When you experience side foot pain, it is important that you seek medical assistance. If a subluxed cuboid is caught and treated early, treatment is usually successful, and individuals may begin activities such as sports when the pain subsides. If left untreated, the pain will worsen, and the condition could cause permanent damage.

Connect With Us